8 年
手机商铺
技术资料/正文
157 人阅读发布时间:2025-08-18 10:57
随着生物芯片技术研究不断发展,尤其在生物医药、食品检测等方面的应用越来越广泛;组织芯片(TMA)在临床和基础医学科研教学方面也担当起重要角色。其高通量、一致性特点缩短了寻找肿瘤基因和相关特异性抗体的进程;同时对于大数据应用于批量检测和开发生物试剂开辟了题,主要存在问题就是组织芯片核心质量不高影响科研结果,而组织芯片柱芯的制作和组织芯片位点面积小等局限性直接影响芯片核心质量,包括1,标记精准度不够,靶组织细胞含量少,出血坏死多,干扰免疫组化实验抗体表达,出现假阴性或假阳性等异常表达;2,点位面积小。组织芯片每一点免疫组化结果和石蜡切片一致性差,对抗体表达阳性率有较大差异,从而直接影响实验结果。这也是一直以来组织芯片和科研领域对接成功的关键。为了更好的解决上述问题,我们通过以下方面进行研究和探讨:1,通过数字化图像扫描配合镜下精准标记制作组织芯片柱芯。2,对自制组织芯片有效性进行免疫组织化学验证。这些方面探讨不仅为提高组织芯片核心质量打下基础,而且有效解决了组织芯片免疫组化和石蜡切片一致性差的问题。
我们收集近3年内乳腺癌组织蜡块196例(附带组织大片ER\PR\Her2免疫组化结果)均为4%多聚甲醛固定,石蜡包埋(包括178例非特殊性浸润性乳腺癌,4例粘液癌,3例伴大汗腺分化的癌,3例浸润性小叶癌,3例微乳头癌,2例伴髓样特征的癌,2例鳞状细胞癌,1例皮脂腺样癌),自制组织芯片(TMA)微阵列组织模块(160点,一例一点)将自制组织芯片160点阵列模块连续切片5张,取一张常规HE染色供组织芯片复检使用(图3),复检全点有效,0无效点;其余4张组织芯片,2张分别做Anti-ER、Anti-PR免疫组化检测,2张阴性对照。
分别计数组织芯片和石蜡切片ER、PR检测结果一致和不一致样本数量,计算其阳性率和一致率;采用配对的卡方检验进行统计学处理,P<0.05为具有显著性差异。Kappa<0.4,说明二者结果一致性差;Kappa>0.75,说明二者结果一致性强。
附图:图1

组织芯片HE染色
图2

乳腺非特殊性浸润性癌瘤细胞胞核ER+++
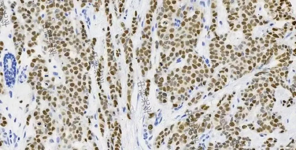
图3

乳腺非特殊性浸润性癌瘤细胞胞核PR+++